There is an outbreak of tuberculosis, also known as TB, in Nunatsiavut.
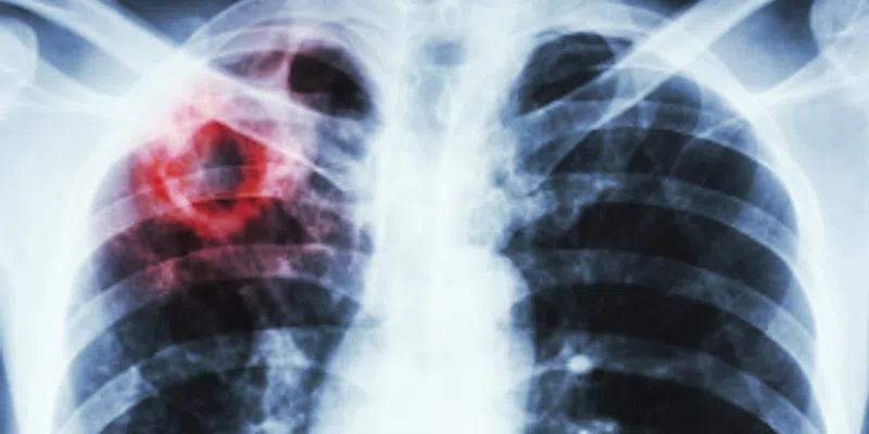
According to NL Health Services, TB is a bacterial disease that usually affects the lungs.
It is spread through the air when an infected person coughs, talks, laughs or sings, typically after prolonged exposure to another person who is sick.
Symptoms include a persistent cough, fever, night sweats, and weight loss.
NLHS is working with the Nunatsiavut Government to identify contacts and potential new cases, and is supporting access to testing.
The health authority says while TB can be serious, treatment is available in the community.
Those with symptoms should be assessed immediately, minimize close contact with others, refrain from attending public events, and follow all instructions from public health.
At this time, there is no elevated risk associated with attending community events – but people should follow the usual guidelines around handwashing, covering coughs and sneezes, and staying home if sick.






















